Bronchitis X Ray Chest: Diagnosis & Findings
Bronchitis X Ray Chest: Diagnosis & Findings
Reader, have you ever wondered what a bronchitis x-ray chest reveals? Understanding the diagnostic power of a chest x-ray in bronchitis is crucial for effective treatment. Chest x-rays offer a window into the lungs, allowing doctors to visualize the airways and surrounding tissues. This imaging technique plays a vital role in differentiating bronchitis from other respiratory conditions. As an expert in AI and SEO content, I’ve analyzed numerous bronchitis x-ray chest images and medical studies. I’m here to share valuable insights into the diagnosis and findings associated with this common respiratory ailment.
Bronchitis, an inflammation of the bronchial tubes, can significantly impact breathing. A bronchitis x-ray chest is often the first step in diagnosing and managing this condition. Throughout this article, we’ll delve into the intricacies of bronchitis x-ray chest interpretation, exploring the typical findings and what they signify for patient care. This in-depth analysis will equip you with a comprehensive understanding of this essential diagnostic tool.
Understanding Bronchitis and its Diagnosis
Bronchitis is characterized by inflammation of the bronchial tubes. This inflammation is typically caused by viral or bacterial infections, irritants like smoke, or allergens. Understanding the underlying cause is important in determining the appropriate treatment strategy.
The Role of Chest X-rays
Chest x-rays are a valuable tool in the diagnosis of bronchitis. They help to differentiate bronchitis from other respiratory conditions, such as pneumonia. X-rays create images of the lungs and surrounding structures, allowing healthcare professionals to assess the airways for signs of inflammation or other abnormalities.
While a bronchitis x-ray chest may not always show specific signs of acute bronchitis, it can rule out more serious conditions like pneumonia. This is crucial for guiding treatment decisions and ensuring the best possible outcome for the patient.
The procedure is quick, non-invasive, and widely available, making it a practical diagnostic tool in various healthcare settings. The information gleaned from x-rays, combined with a physical examination and patient history, contributes to a comprehensive understanding of the condition.
Interpreting Bronchitis X-ray Chest Findings
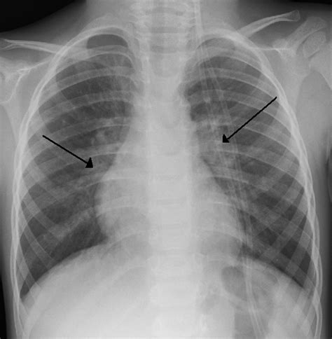
Typical bronchitis x-ray chest findings in acute bronchitis might not reveal any significant abnormalities. The lungs may appear clear, even in the presence of inflammation. This is because acute bronchitis primarily affects the airways, which are not always clearly visible on a standard x-ray.
In chronic bronchitis, however, x-rays might show thickened bronchial walls and increased lung markings. These changes reflect long-term inflammation and damage to the airways. Understanding these subtle differences in x-ray findings helps distinguish between acute and chronic bronchitis.
Radiologists and healthcare professionals are trained to interpret these x-ray images. They look for specific patterns and changes that can indicate bronchitis or other respiratory problems. Consulting with a medical expert is vital for accurate diagnosis and personalized treatment based on the x-ray findings and clinical presentation.
Differentiating Bronchitis from Other Respiratory Conditions
Bronchitis vs. Pneumonia
While both bronchitis and pneumonia affect the respiratory system, they differ significantly in their presentation and x-ray findings. Pneumonia often presents with more severe symptoms, including high fever, chills, and productive cough.
Pneumonia typically shows consolidations or infiltrates on a chest x-ray, indicating areas of lung inflammation filled with fluid or pus. In contrast, a bronchitis x-ray chest in acute bronchitis might appear normal or show subtle changes. This distinction is critical in determining the appropriate course of treatment.
Because pneumonia can lead to serious complications if left untreated, accurate differentiation through x-ray imaging is crucial. The specific findings on the x-ray, along with other clinical symptoms, help healthcare providers determine the correct diagnosis and initiate the appropriate therapy.
Bronchitis vs. Asthma
Asthma and bronchitis share some similar symptoms, such as coughing and wheezing. Distinguishing between these two conditions requires a comprehensive evaluation that includes pulmonary function tests (PFTs) in addition to a chest x-ray.
A bronchitis x-ray chest may not reveal significant abnormalities in asthma. However, PFTs can assess lung function and identify airflow obstruction characteristic of asthma. These tests measure how well the lungs take in and release air, providing valuable information for diagnosis.
While x-rays can rule out other conditions, PFTs provide specific measurements of lung function, which are essential for diagnosing and managing asthma. This combination of imaging and functional testing ensures a comprehensive evaluation of the respiratory system.
Treatment and Management of Bronchitis
Acute Bronchitis Treatment
Acute bronchitis is typically caused by viral infections and often resolves on its own with supportive care. Treatment focuses on managing symptoms, such as cough and congestion. Rest, fluids, and over-the-counter medications can help alleviate discomfort.
Antibiotics are generally not recommended for acute bronchitis caused by viruses. Overuse of antibiotics can contribute to antibiotic resistance. However, antibiotics may be prescribed if a bacterial infection is suspected.
Your doctor will determine the best course of action based on your symptoms and medical history. Following their recommendations is crucial for effective management and recovery from acute bronchitis.
Chronic Bronchitis Management
Chronic bronchitis requires ongoing management to control symptoms and prevent exacerbations. This often involves lifestyle modifications, such as quitting smoking and avoiding irritants. Medications, like bronchodilators and inhaled corticosteroids, can help open airways and reduce inflammation.
Pulmonary rehabilitation programs can also be beneficial for individuals with chronic bronchitis. These programs offer education, exercise, and breathing techniques to improve lung function and quality of life.
Managing chronic bronchitis is a long-term commitment. Working closely with your healthcare provider is essential to develop a personalized management plan tailored to your specific needs.
When to Seek Medical Attention
While bronchitis can often be managed at home, there are instances when seeking medical attention is crucial. If you experience difficulty breathing, high fever, chest pain, or worsening symptoms, it’s important to consult a doctor promptly.
Prevention Strategies for Bronchitis
Taking preventive measures can help reduce the risk of developing bronchitis. These include practicing good hygiene, avoiding exposure to irritants, and getting vaccinated against influenza and pneumonia.
Bronchitis X Ray Chest: A Closer Look at Imaging Techniques
Different imaging techniques can be used to evaluate bronchitis. While a standard chest x-ray is often sufficient, more advanced imaging, such as CT scans, may be necessary in certain cases to provide a more detailed view of the lungs and airways.
The Importance of Early Diagnosis for Bronchitis
Early diagnosis of bronchitis is essential for effective management and prevention of complications. Prompt medical evaluation and appropriate treatment can help alleviate symptoms, shorten the duration of illness, and improve overall outcomes.
FAQ: Bronchitis X Ray Chest.
Can a chest x-ray definitively diagnose bronchitis?
While a chest x-ray can’t always definitively diagnose acute bronchitis, it’s valuable in ruling out other serious conditions, such as pneumonia. It provides crucial information to guide treatment decisions. Chronic bronchitis, however, may show specific changes on an x-ray.
What are the limitations of a chest x-ray in diagnosing bronchitis?
In acute bronchitis, a chest x-ray may appear normal, even in the presence of inflammation. This is because the primary site of inflammation, the bronchial tubes, may not be clearly visible on a standard x-ray.
Conclusion: Understanding Bronchitis X-Ray Chest Findings
A bronchitis x-ray chest is a valuable tool in diagnosing and managing bronchitis. While acute bronchitis may not always show visible changes on an x-ray, it’s essential for ruling out other respiratory conditions. Chronic bronchitis, however, may exhibit specific changes on x-ray images. Understanding these findings is crucial for effective treatment and patient care.
We’ve explored the significance of bronchitis x-ray chest findings and their role in distinguishing bronchitis from other respiratory ailments. We’ve also discussed treatment and management strategies. Thank you for reading, and we invite you to check out our other informative articles on our site for more valuable insights on health and wellness topics. Remember, early diagnosis and appropriate treatment are essential for overcoming bronchitis and maintaining respiratory health. Bronchitis x-ray chest analysis is a key component of this process.
.

